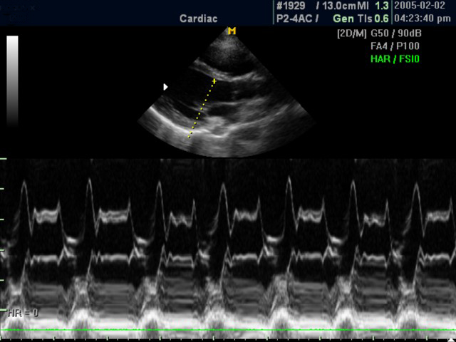
M-режим (M-mode) - это одномерный режим ультразвукового сканирования (исторически первый ультразвуковой режим), при котором исследуются анатомические структуры в развертке по оси времени, в настоящий момент применяется в эхокардиографии. М-режим используется для оценки размеров и сократительной функции сердца, работы клапанного аппарата. С помощью этого режима можно рассчитать сократительную способность левого и правого желудочков, оценить кинетику их стенок.
При исследовании в М-режиме принципиально важным является выбор правильной позиции сканирования, например, для исключения отображения движения папиллярных мышц M-курсор должен быть установлен в парастернальной позиции по короткой оси (right parasternal axis view).

Обычный М-режим (M-mode).

Цветной M-режим (Color M-mode) - это совмещение М-режима и режима ЦДК, при котором на графике М-режима цветокодированная составляющая изображения отображается в дополнение к серошкальной, что заметно упрощает временную оценку регургитации или рефлюкса.

Анатомический M-режим (Free-angle M-mode) - это возможность вращения курсора в М-режиме под произвольным углом (при фиксированном положении датчика) и, соответственно, получения графика движения структур сердца в различных произвольных плоскостях.